Professional teeth whitening is a safe, effective way to lighten your teeth.
At Stella Dental Suite, we offer clinically proven systems that deliver stunning, natural brightness under the supervision of experienced dentists.

Teeth Whitening Benefits
- Safe and dentist-supervised
- Predictable, natural results
- Fast treatment times
- Boosts confidence
- Home or in-clinic options

Procedure Times
In-clinic whitening: around 60 minutes.
Home whitening: 2 weeks with daily wear.
At A Glance
Our Expertise
We only use approved whitening systems with dentist supervision, ensuring both safety and results.
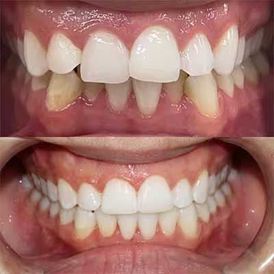
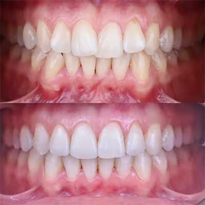
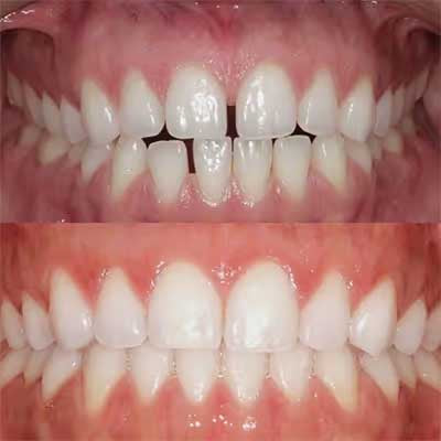
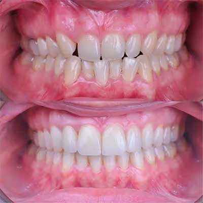
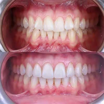
Real Results
Patient Suitability
Suitable for most adults. Not recommended for pregnant women or patients with untreated dental problems.
FAQs
Is teeth whitening safe?
Yes - professional teeth whitening is very safe. When performed or supervised by a dentist, the treatment is designed to lift stains without damaging your tooth enamel or gums.
Will it make my teeth sensitive?
Some patients experience mild sensitivity, but this typically fades within 24 to 48 hours after treatment.
This happens because the whitening gel temporarily opens up the microscopic "tubules" in your enamel to reach the deep-set stains. While these are open, the nerves inside your teeth are more exposed to temperature changes.
How long do teeth whitening results last?
Whitening results typically last between 6 months and 2 years. The exact duration depends heavily on your lifestyle and how well you maintain your new shade.
Can I whiten crowns or fillings?
No—teeth whitening treatments only work on natural tooth enamel. Any dental work you have—such as crowns, veneers, bridges, or white fillings—will remain their original colour.
If you whiten your teeth while you have a crown or filling in your "smile line," your natural teeth will get brighter, but your dental work will stay the same. This can make your crowns or fillings look darker or more yellow by comparison.
Is home or in-chair teeth whitening better?
Both produce excellent results, but they offer different benefits. In-chair whitening is best for immediate results (perfect for an event), while at-home whitening is often considered the "gold standard" for long-term stability and deep stain removal.
Will teeth whitening damage enamel?
No - professional whitening systems do not damage, thin, or weaken your enamel. The process is designed to travel through the microscopic pores of the tooth to break up stain molecules without affecting the tooth's structure.
How white will my teeth go?
Most patients see an improvement of 4 to 8 shades. However, your final result depends on your starting point, the type of staining you have, and your natural tooth colour.
Because your teeth are unique, some people respond to whitening like a sponge, while others require a bit more time to see a dramatic shift.
Can I top up my whitening?
Yes—in fact, we recommend it. Periodically "topping up" your whitening is the only way to counteract the natural staining from food and drink and keep your smile at its peak brightness.
What Clients Are Saying
Maria“Dr Alina is a very good dentist who made me feel comfortable, she is professional and the whole team is very friendly.”
Ashley“Chloe made me feel very much at ease. Excellent advice and treatment. Highly recommend.”
Leanne“Stella dental is outstanding! The team are welcoming , professional & truly cared about my experience. I had a Invisalign consultation with dr Francesca dash who was absolutely lovely. The clinic was very clean & tidy with a fantastic welcoming atmosphere that really put me at ease. If anyone is looking for expert cosmetic dentistry or general appointments in Nottingham I can hand on heart say this is the place to go. Highly recommend & will definitely be retuning again! Thank you so very much to all of your team!”
Locations
-
Stafford
Find Out MoreOur Stafford clinic offers advanced general and cosmetic treatments in a purpose-built, state-of-the-art setting. Patients travel from across Staffordshire for our trusted expertise in Invisalign® and dental implants.
-
Stourbridge
Find Out MoreProviding high-quality private dental care in the West Midlands, our Stourbridge team delivers everything from regular check-ups to complex cosmetic and implant treatments in a calm, friendly atmosphere.
-
Nottingham
Find Out MoreLocated in the heart of the city, Stella Dental Nottingham offers expert Invisalign®, cosmetic and implant dentistry, supported by a warm, professional team dedicated to your comfort and confidence.





