Full mouth dental implants – sometimes called All-on-4 or All-on-6 implants – are a permanent solution for replacing all missing teeth in one or both arches.
At Stella Dental Suite in Staffordshire, we provide life-changing full arch implant treatments that restore confidence, function, and appearance.

Benefits
- Fixed, long-lasting replacement for all teeth
- Looks and feels completely natural
- Restores full chewing and speaking ability
- Prevents bone loss and supports facial structure
- No slipping or discomfort like dentures
- Immediate function in many cases

Procedure Times
Treatment usually takes 3–6 months. Implants are placed, temporary teeth may be fitted the same day, and permanent bridges are added once healing is complete.
At A Glance
Our Expertise
Our Stafford implant dentists are highly experienced in full arch implant treatments. We use advanced 3D scans and leading implant systems to provide predictable, natural-looking results.
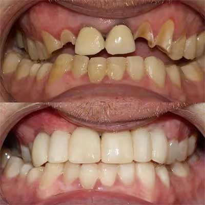
Gallery
Patient Suitability
Suitable for patients missing most or all teeth. Adequate bone density is required, with grafting available if needed.
FAQs
What are full mouth dental implants?
They replace all missing teeth using 4–6 implants per arch.
How long does treatment take in Stafford?
Around 3–6 months, including healing.
Are full mouth implants painful?
No - they are carried out with anaesthetic and sedation if needed.
Do I get teeth on the same day?
Yes - many patients receive temporary teeth immediately.
How much do full mouth dental implants in Stafford cost?
We provide a clear treatment plan and pricing at consultation.
Do implants stop bone loss?
Yes - implants preserve bone and facial structure.
Are they better than dentures?
Yes - implants are fixed, stable, and long-lasting.
How do I care for full arch implants?
Brush, floss, and attend hygiene visits just like natural teeth.
What Clients Are Saying
Leanne“Stella dental is outstanding! The team are welcoming , professional & truly cared about my experience. I had a Invisalign consultation with dr Francesca dash who was absolutely lovely. The clinic was very clean & tidy with a fantastic welcoming atmosphere that really put me at ease. If anyone is looking for expert cosmetic dentistry or general appointments in Nottingham I can hand on heart say this is the place to go. Highly recommend & will definitely be retuning again! Thank you so very much to all of your team!”
Natalie“Absolutely outstanding dentist. all staff were exceptional and more than welcoming highly recommended.”
Chloe“The place is extremely clean and both the dentist and assistants were fab!! They treated me with care and were super lovely at all times. I recommend it :)”
Locations
-
Stafford
Find Out MoreAt Stella Dental Suite in Staffordshire, we provide life-changing full arch implant treatments that restore confidence, function, and appearance.
-
Stourbridge
Find Out MoreAt Stella Dental Suite Stourbridge, we offer advanced implant treatments, including All-on-4 and All-on-6, that restore strength, function, and confidence.
-
Nottingham
Find Out MoreAt our Nottingham clinic, we provide fixed, long-lasting implant bridges that restore natural appearance, comfort, and function.





