Invisalign is a modern alternative to fixed braces, using clear, removable aligners to gently and discreetly move your teeth into position.
Designed for everyday life, the aligners are barely visible and easy to maintain. At Stella Dental Suite, our experienced team will guide you through each step of your journey with personalised care and advanced digital planning. We are proud to be recognised as Diamond Apex Providers—placing us among the top Invisalign clinicians in the UK.

Invisalign Benefits
- Virtually invisible, clear aligners
- No brackets or wires
- Removable for eating, brushing, and flossing
- Comfortable to wear
- Digitally planned for precision
- Suitable for adults and teenagers
- Shorter treatment times in many cases
- Led by a Diamond Apex Invisalign team

Procedure Times
Your Invisalign treatment begins with a detailed digital scan of your teeth. Most treatments last between 6 and 18 months, depending on your individual needs. Aligners are changed every 1–2 weeks to gradually guide your teeth into their correct position. You will attend regular reviews with us to ensure everything stays on track and comfortable throughout.
At A Glance
Our Expertise
Our team at Stella Dental Suite holds Diamond Apex status—the highest level of Invisalign recognition worldwide. This means we have completed a large number of successful Invisalign cases, and continue to deliver exceptional results through skill, planning, and experience. You can trust us to look after your smile with clinical precision and genuine care.
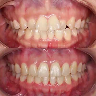
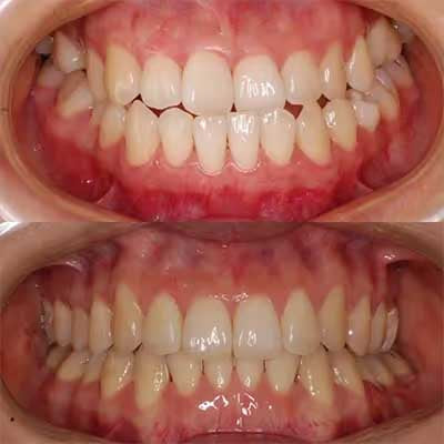
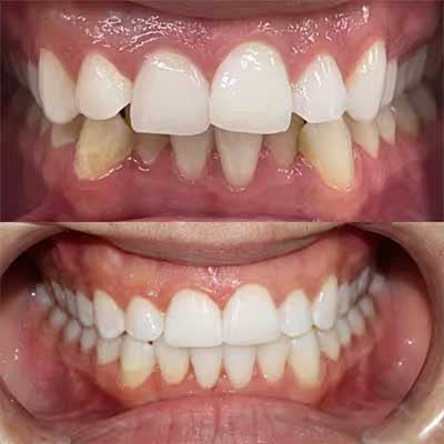
Real Results
Patient Suitability
Invisalign is suitable for most adults and teenagers with mild to moderate alignment issues. It can treat spacing, crowding, overbites, underbites and crossbites. During your consultation, we’ll assess whether this is the best option for you—or advise on alternatives if needed.
FAQs
What are Invisalign aligners made of?
Invisalign aligners are made from SmartTrack®, a clear, flexible plastic designed for precision and comfort.
Can I eat with Invisalign?
Yes—because your aligners are removable, you can continue to enjoy all your favourite foods.
Unlike traditional braces, where crunchy, sticky, or hard foods can break brackets and wires, Invisalign gives you total dietary freedom. You simply pop them out, eat whatever you like, and pop them back in.
How many hours a day must I wear them?
For the best results, you should wear your Invisalign aligners for 20–22 hours daily.
Will it hurt?
Most patients describe the sensation as "pressure" rather than pain, and it usually only lasts for a day or two.
Because Invisalign works by gradually and gently shifting your teeth into a new position, you will feel a snug sensation every time you start a new set of aligners. This is actually a positive sign—it means your treatment is working!
Are Invisalign aligners visible?
Invisalign aligners are virtually invisible. Most people won’t even notice you’re wearing them unless you point them out. Crafted from a patented, medical-grade clear plastic called SmartTrack, the aligners are custom-moulded to fit snugly over your teeth. This precision fit ensures there are no bulky edges or obvious gaps that catch the light
Is it suitable for teenagers?
Yes - Invisalign Teen is specifically designed to meet the unique needs of growing smiles.
Invisalign Teen offers the same effective tooth-straightening technology as the adult version, but with a few clever "parent-friendly" features to ensure the treatment stays on track.
What if I lose an aligner?
Don’t worry - just contact us immediately, and we will advise you on the best next step.
Life happens, and aligners occasionally go missing in napkins or gym bags. The most important thing is to not leave your teeth without an aligner for more than a few hours, as they can begin to shift back to their old positions surprisingly quickly.
What’s included in my treatment?
We provide a comprehensive, all-inclusive package so you can focus entirely on your new smile.
When you start your Invisalign journey with us, your treatment plan is designed to be seamless. We include everything necessary to achieve - and maintain - your results.
What Clients Are Saying
Leah"Amazing service, both Chloe and Dr Dash were really helpful and friendly at my Invisalign appointment. Practice is stylish and very clean which is great!"
Nick"Started my Invisalign first appointment today, was greeted by Imogen on the front reception, made to feel welcome and valued . Chloe went through all aspects of fitting, cleaning process etc , what to expect from them and after care, very professional customer service and support given, thanks to all again, 5*."
Lyvia"The best, most warm, friendly and professional experience I have ever had at a dental practice, ever! I am usually pretty nervous and apprehensive going to the dentist but stepping into Stella Dental Nottingham just feels different. It's such a cosy atmosphere and Chloe, Dr Francesca Dash, and Lawrence are an absolute dream. They have made me feel so comfortable and validated as I begin my Invisalign journey with them. I actually look forward to visiting the dentist now!!"
Maria"I’ve just started my Invisalign ’journey’ with Stella Dental. I’ve found the customer service and quality of the customer care excellent so far. This is why I selected Stella Dental as the practice to support me to get straighter and whiter teeth. I can’t recommend Stella Dental enough; I’m so pleased that they opened a branch in Nottingham."
Locations
-
Stafford
Find Out MoreAt Stella Dental Suite in Staffordshire, our Diamond Apex Invisalign providers use advanced digital technology to create a bespoke treatment plan tailored to your smile. The result is a comfortable, discreet, and effective journey to straighter teeth.
-
Stourbridge
Find Out MoreAt Stella Dental Suite Stourbridge, our Diamond Apex Invisalign providers design your treatment using advanced digital scans and 3D simulations. Enjoy a confident, straighter smile without traditional braces.
-
Nottingham
Find Out MoreAt Stella Dental Suite Nottingham, our Invisalign Diamond Apex providers use 3D digital scans and advanced planning to ensure precise, comfortable results.
Related Treatments
-
Teeth Whitening
Find Out MoreBrighten your smile after straightening. Our professional whitening treatments are safe, effective, and beautifully balanced with your final result.
-
Composite Bonding
Find Out MoreRefine small imperfections. Ideal for reshaping edges or closing small gaps following Invisalign.
-
Dental Hygiene
Find Out MoreSupport a healthy mouth throughout treatment. Regular hygiene visits keep your aligners clean and your teeth and gums protected.
-
Six Month Smile
Find Out MoreFaster cosmetic alignment. Targets visible front teeth in approximately six months using discreet brackets.





