A smile makeover combines treatments such as whitening, veneers, bonding, and orthodontics to achieve your dream smile.
At Stella Dental Suite, we design bespoke plans that suit your goals, budget, and lifestyle.

Smile Makeover Benefits
- Comprehensive transformation
- Tailored to your needs
- Combines multiple cosmetic treatments
- Natural, beautiful results
- Boosts confidence and self-esteem

Procedure Times
Treatment timelines vary depending on chosen procedures – from a few weeks to several months.
At A Glance
Our Expertise
Our clinicians specialise in cosmetic dentistry, combining advanced treatments with an eye for design and detail.
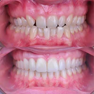
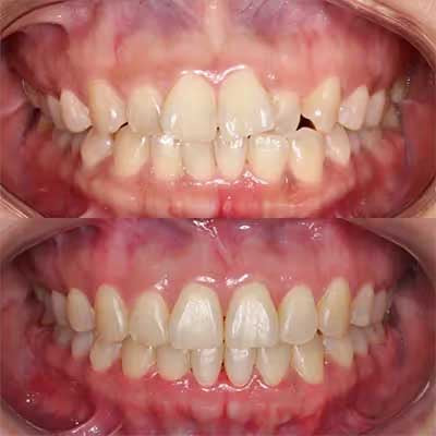
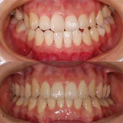
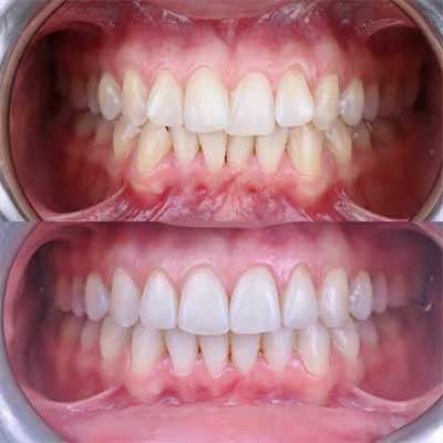
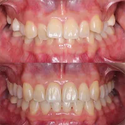
Real Results
Patient Suitability
Suitable for patients seeking multiple cosmetic improvements. Each plan is unique.
FAQs
What treatments are included in a smile makeover?
With our smile makeover, we offer a range of services, including bonding, whitening, veneers, orthodontics, and more.
Is it painful?
No - most procedures are minimally invasive.
How long does it take?
The smile makeover can take anywhere from weeks to months depending on which treatments you get.
Can I choose which treatments I want?
Yes - each smile makeover plan is bespoke to each person.
How much does it cost?
Costs depend on chosen treatments, which will be discussed at the consultation.
Will it look natural?
Yes - our focus is on natural beauty.
Do results last?
Yes - with the correct care and maintenance.
Is a smile makeover worth it?
For many patients, the boost in confidence is life-changing.
What Clients Are Saying
Tom“Without a doubt the best experience I’ve had at a dentist. Dr. Dash was so welcoming, kind and informative. Inside it doesn’t feel/look harsh or clinical but calming and stylish. Every aspect has been thought of to make you feel comfortable, especially as an anxious patient — particular thanks to Chloe for great communication before I came in. I’d definitely recommend Stella Dental without hesitation. 10/10”
Christiana“I've had a online and in-person consultation (both free) with Stella now and they've been very kind, thorough and professional. I'm quite embarrassed about my smile but the Dr was so kind about it 😭, I'm really thankful for that. The clinic itself is very peaceful, I was seen on time, early even, and the communication has been quite swift. Looking forward to further appointments.”
Marie“A lovely clean atmosphere. Staff were friendly on arrival and while dealing with my concerns. I got a very honest opinion which was not the most expensive option so very grateful for that.”
Locations
-
Stafford
Find Out MoreOur Stafford clinic offers advanced general and cosmetic treatments in a purpose-built, state-of-the-art setting. Patients travel from across Staffordshire for our trusted expertise in Invisalign® and dental implants.
-
Stourbridge
Find Out MoreProviding high-quality private dental care in the West Midlands, our Stourbridge team delivers everything from regular check-ups to complex cosmetic and implant treatments in a calm, friendly atmosphere.
-
Nottingham
Find Out MoreLocated in the heart of the city, Stella Dental Nottingham offers expert Invisalign®, cosmetic and implant dentistry, supported by a warm, professional team dedicated to your comfort and confidence.





